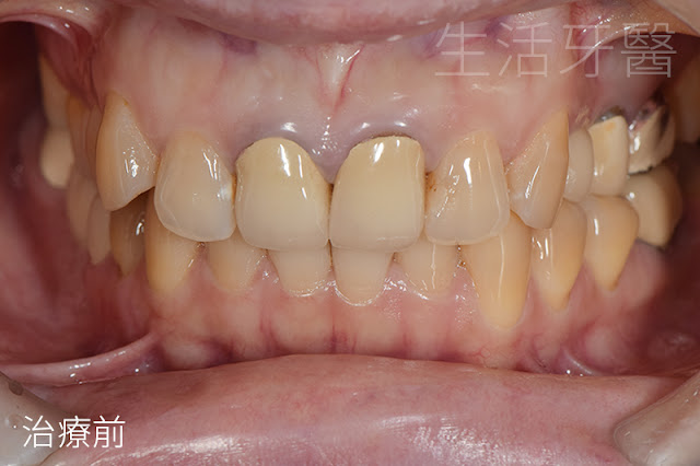
台中全瓷冠推薦牙醫-全瓷冠替代變黑舊假牙合併居家美白治療 實際案例
這位患者由於齒色過黃、變黑的牙齦和不自然的門牙假牙
讓她的笑容黯然失色
因此前來求診,希望能改善她的門面困擾
經過台中前牙美學專科醫師 莊禮駿醫師評估
建議先進行居家美白,調整全口過黃的齒色
再拆除門牙兩顆顏色不自然的假牙冠
並製作新的全瓷冠假牙來替代
完成居家美白後,齒色達到理想狀態
拆下舊有的門牙假牙,重做牙樁
您可以發現,在此階段就已大幅改善牙齦發黑的現象
裝戴上與資深技師共同完成的美學全瓷冠
精心製作的全瓷冠假牙不但色澤型態自然如天生
牙齦也不再像過往那樣嚴重發黑
患者治療完前牙也是相當滿意,對生活醫療團隊更有信心
決定接下來要繼續處理圖中右上方的後牙假牙冠的問題
晶亮剔透的前牙區除了可使笑容氣質加分
更有減齡的效果
生活牙醫前牙美學團隊深厚的經驗與獨到的美學眼光
就是要讓你美得很自然
看這全瓷冠假牙透亮的切端
與鄰近的真牙相差無幾
這除了得依賴全瓷冠透光度高的材質特性
更是需要醫師對細節的雕琢與牙技師的默契才能相輔相成
治療前後比較
讓煥然一新的笑容點亮你的臉龐
完美生活從齒開始




























































